フレーム
 

1:上部消化管造影検査

バリウムを飲んで、食道・胃・十二指腸をレントゲンで調べる検査です。これを病院で行うのが一般に直接撮影と呼ばれ、検診車で撮影するのは間接撮影ということになります。直接撮影の方が細かい診断が可能ですから、どちらをするかと聞かれれば、迷わず直接撮影をお勧めします。患者さんに必要とされるのは、バリウムを飲むことができること、ゲップを我慢できること、寝台の上で右向いたり左向いたりうつ伏せになったり体を自由に動かせること、です。この検査では、良性の潰瘍や癌の発見などが可能ですが、ある種の早期癌については残念ながら発見は困難です。また、胃炎の細かい程度を知るのも難しく、組織をとって検査したりすることもできません。ただし、胃の形や伸展具合を知る上では優れています。
←矢印部分に大きな隆起性病変があるため、胃の膨らみ方が悪くなっています。  進行胃癌。


 当院でのバリウム検査は2018年で終了いたしました



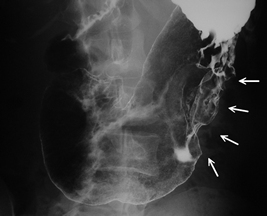
 2:注腸検査

 
注腸といわれる検査です。肛門から10cmほど管を入れて、管を 通してバリウムと空気を注入し、大腸全体を細かくX線で撮影します大腸に便が残っていると検査の精度が落ちてしまいますから、事前に下剤投与などの前処置が必要です。検査自体つらいという患者さんは皆無ですが、下剤による腹痛や頻回の排便が大変だったという声は比較的多く耳にします。一日で大腸の中を空っぽにしようとするのですから多少の腹痛は我慢するしかありませんが、個人差もあり、夜中に何度も「腹痛→排便」という方もいるようです。医療に携わるものとしては、より負担の少ない下剤の開発かまたはそれに代わる方法が開発されることを切に望みます。検査前日の食事は検査食と言われ、レトルト食品や粉末飲料など一日分がセットになって販売されています。この市販の検査食にはいろいろな種類がありますが,
いわゆる大腸癌検診として行われている便潜血反応が陽性の場合、次に行われる検査はこの検査になります。

←画面中央に直腸癌が認められる
当院では現在注腸検査は行っておりません 便潜血陽性の場合
すべて大腸検査になっております




3:腹部超音波検査 予約なしで
いつでも検査可能です

腹部全域における内臓臓器の異常を調べます。ゼリーをつけたプローブを体に当てるだけですから全く侵襲のない検査といえます。具体的には肝臓、胆嚢、膵臓、脾臓、腎臓、膀胱、前立腺、子宮、卵巣などを調べたり、胸水や腹水の貯留について調べることができます。超音波は、ガスがあると画像が不鮮明になるので消化管の描出は困難ですが、大きい腫瘍や強い炎症があると消化管でも描出が可能な場合があります。
レントゲンと違いX線の被爆もありません。
トップへ